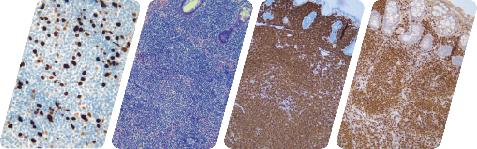
Accurate diagnosis and subtype classification of lymphomas depend on a multimodal approach, including clinical presentation, careful morphologic review, immunohistochemistry, cytogenetics, flowcytometry, and molecular diagnosis.
As Recommended By Major Clinical Practice Guidelines


